Welcome to our gallery! Our team at Periodontics of the Desert takes pride in providing our patients with excellent and unparalleled periodontics in Palm Desert, California. We invite you to browse through our gallery to see just how we have enhanced our patients’ smiles and get a glimpse at what you can expect when you visit with Dr. Peter Warshawsky, Dr. Robert Lacrampe and Dr. Neil Patel. We welcome you to contact us to schedule your appointment with our doctors and receive first-rate periodontics.
Periodontics of the Desert
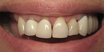
Before
Periodontics of the Desert
After
Periodontics of the Desert
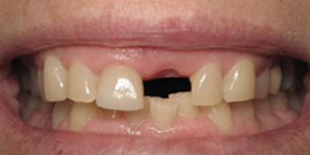
Before
Dental Treatment
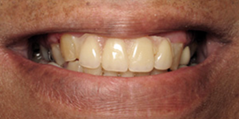
After
Dental Treatment
Before
Periodontics of the Desert
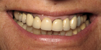
After
Periodontics of the Desert
Before
Periodontics of the Desert
After
Periodontics of the Desert
Before
Smile
After
Dental Treatment
Before
Periodontics of the Desert
After
Periodontics of the Desert
Before
Periodontics of the Desert
After
Periodontics of the Desert
Before
Periodontics of the Desert
After
Periodontics of the Desert
Before
Periodontics of the Desert
After
treatment
Before
smile
After
Smile
Before
Treatment
After