44550 Village Ct Ste 102, Palm Desert, CA 92260
Scaling and root planing is a treatment used to remove bacteria from underneath the gum line. If bacterial penetration is not too far below the gum line, scaling and root planing can be very effective at halting the progression of periodontal disease. Dr. Peter Warshawsky, Dr. Robert Lacrampe and Dr. Neil Patel may recommend this treatment for patients with mild to moderate gum disease. For more information about scaling and root planing in Palm Desert, California, and to make your appointment with our doctors, contact Periodontics of the Desert at 760-674-4410.
During your scaling and root planing, our periodontists will remove plaque and calculus (tartar) from the surfaces of your teeth, and will clean and smooth the roots to remove bacterial toxins. We may combine this treatment with other types of periodontal therapy, such as antibiotic treatment.


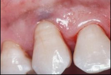
Examination reveals calculus trapped below the gum line on the cuspid tooth.

Under local anesthesia, the gum tissue is pulled back to reveal calculus. Since the calculus has not progressed too far down, it can be effectively removed.

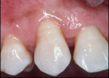
Re-evaluation of your treatment 3 weeks later reveals success due to early intervention. Chances of successful treatment with scaling and root planing lessen when calculus is deeper than 5mm.
For more information about the benefits of scaling and root planing, and to make an appointment with our experienced periodontists, call our office today.
